Facebook
Twitter
LinkedIn
Pinterest
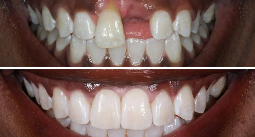
Before and after dental veneers

Achieving A Perfect Smile | Can Veneers Help With Missing Teeth?

Achieving A Perfect Smile | Can Veneers Help With Missing Teeth?

Your veneers can cover up to eight missing teeth on the top and eight on the bottom. 

Are you tired of hiding your smile because of missing teeth?

Do you want a quick and easy solution to improve the appearance of your teeth?

Veneers might be the solution you’ve been looking for! 

Types of Veneers

  • Porcelain veneers: custom-made shells that are placed over the front surface of the teeth to improve their appearance
  • Composite veneers: made of a tooth-colored resin material that is applied to the teeth and then shaped and polished
  • Lumineers: ultra-thin, custom-made porcelain veneers that require minimal preparation of the natural teeth

Options for Veneers with Missing Teeth

  1. Veneers with missing teeth can be an effective solution for improving the appearance of your smile, even if you have missing teeth.
  2. Depending on the number and location of missing teeth, veneers can be used in conjunction with other dental treatments, such as implants or bridges, to create a complete smile.
  3. Your dentist will evaluate your individual case to determine the best course of action for achieving your desired results.

The Veneers Process

  1. Consultation: During your initial consultation, your dentist will evaluate your teeth and discuss your goals for treatment.
  2. Preparation: Your teeth will be prepared by removing a small amount of enamel from the front surface of the teeth to make room for the veneers.
  3. Impressions: Your dentist will take impressions of your teeth to create custom-made veneers.
  4. Placement: The veneers will be placed onto your teeth and bonded with a special adhesive.

Benefits of Veneers for Patients with Missing Teeth

  • Improved aesthetics: Veneers can improve the appearance of your teeth and provide a more symmetrical and natural-looking smile.
  • Increased confidence: Veneers can help boost your confidence by giving you a brighter and more attractive smile.
  • Enhanced functionality: Veneers can improve the function of your teeth by restoring their shape, size, and alignment.
  • Minimal recovery time: Unlike other dental procedures, veneers have minimal recovery time and can be completed in just a few visits to the dentist.

Maintenance and Care for Veneers with Missing Teeth

  • Proper maintenance and care are essential to ensuring the longevity of your veneers.
  • Brush and floss your teeth regularly, and avoid biting or chewing on hard objects.
  • Schedule regular check-ups with your dentist to ensure that your veneers are in good condition and to address any issues that may arise.

Getting veneers with missing teeth is possible and can be a great solution for improving the appearance of your smile. 

However, it’s important to work with a qualified dental professional to determine the best course of action for your individual case. 

By following proper maintenance and care guidelines, you can enjoy a brighter, more confident smile for years to come.

Don’t wait any longer to improve the appearance of your smile – schedule a consultation with your dentist today!

Share the post

Facebook
Twitter
LinkedIn
Pinterest

2 thoughts on “Achieving A Perfect Smile | Can Veneers Help With Missing Teeth?”

Leave a Comment

Your email address will not be published. Required fields are marked *